Smart Clinic 360 Dental Kiosk
A comprehensive oral health ecosystem powered by AI aimed at accelerating diagnostics, enhancing patient interaction, and streamlining clinic operations through intelligent automation tools.










Design for All
Insanely Powerful
22-Inch Touch
Lightening Speed
Seamless scanning for all ages; vertical camera movement to adjust to any height.
Google Clouds enables enables unlimited processing power.
Facilitates effortless interaction across all age groups.
Detailed screening under 10 seconds is a reality with AI.


POWERED BY


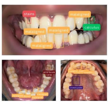
Tooth AI
Trained on 1Mn+ data
Detects 40+ hard tissue diseases
Report under 5 seconds
MOST ADVANCED AI MODELS






Predict AI
Simulates real-time worsening of untreated cavities
Helps patients visualize future risks instantly
Tissue AI
Smile AI
Early detection of high-risk oral conditions
Helps practitioners and patients spot Apthousulcers, Lichen planus, Erythroplakia, Candidiasis
Launching soon
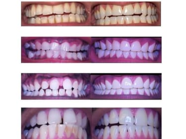
Real-time simulation of smile correction
Helps patients visualise how smile will look like post treatment
Launching soon


World's First & Only AI Ecosystem for Oral Care

Get in touch
Address
Shop 64 Kempton Square
Shopping Center
Kempton Park
Contacts
Dr kholvadia 0827085189 Vuyo 0836288987
info@smartclinic360.co.za
